Ultraprocessed Diets Linked to Unhealthy Fat Accumulation in Human Thighs
A startling new medical finding has emerged, drawing a direct parallel between the consumption of ultraprocessed foods and the development of unhealthy fat deposits in human thighs. This phenomenon, described by researchers as resembling the marbling seen in high-quality steaks, underscores the profound impact of modern dietary habits on human physiology.
The Study and Its Implications
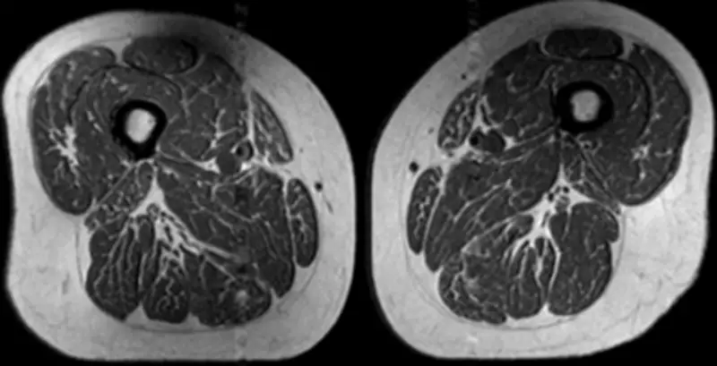
Recent research, highlighted by imaging studies, has demonstrated that individuals with diets consisting predominantly of ultraprocessed foods exhibit significant fat accumulation in their thigh muscles. In one notable case, an MRI scan of a woman whose diet was 87% ultraprocessed revealed extensive fat infiltration within the thigh tissue. This pattern of fat deposition is not merely a cosmetic concern but is associated with a range of serious health issues, including metabolic disorders, cardiovascular diseases, and reduced muscle function.
The term "ultraprocessed foods" refers to industrial formulations typically containing five or more ingredients, including substances not commonly used in home cooking, such as preservatives, emulsifiers, sweeteners, and artificial colors. Common examples include sugary snacks, packaged baked goods, fast food, and many ready-to-eat meals. These products are often high in calories, unhealthy fats, sugars, and salt while being low in essential nutrients like fiber, vitamins, and minerals.
Health Risks and Broader Context
The infiltration of fat into muscle tissue, known as intramuscular fat or intermuscular adipose tissue, can impair insulin sensitivity and lead to conditions like type 2 diabetes. It also contributes to inflammation and may exacerbate age-related muscle loss, a condition known as sarcopenia. This discovery adds to a growing body of evidence linking ultraprocessed food consumption to obesity, heart disease, and premature mortality.
Experts warn that the convenience and affordability of ultraprocessed foods have made them a staple in many diets, particularly in Western societies. This shift has coincided with rising rates of obesity and related health problems globally. The visual evidence from MRI scans serves as a powerful reminder of the tangible effects of dietary choices on the body's internal structures.
Recommendations for Healthier Eating
To mitigate these risks, health professionals advocate for a return to whole, minimally processed foods. Key recommendations include:
- Increasing intake of fruits, vegetables, whole grains, and lean proteins.
- Reading food labels carefully to avoid products with long lists of unrecognizable ingredients.
- Preparing meals at home using fresh ingredients whenever possible.
- Limiting consumption of sugary beverages, processed meats, and packaged snacks.
Public health initiatives are also crucial in addressing this issue. Policies aimed at reducing the availability and marketing of ultraprocessed foods, especially to children, could help curb their consumption. Educational campaigns highlighting the health risks associated with these products may empower individuals to make more informed dietary choices.
In conclusion, the link between ultraprocessed foods and unhealthy fat deposition in thighs is a clear indicator of the broader health crisis fueled by modern eating habits. As research continues to uncover the mechanisms behind this phenomenon, it becomes increasingly important for individuals and societies to prioritize nutrition and wellness in the face of pervasive processed food options.



